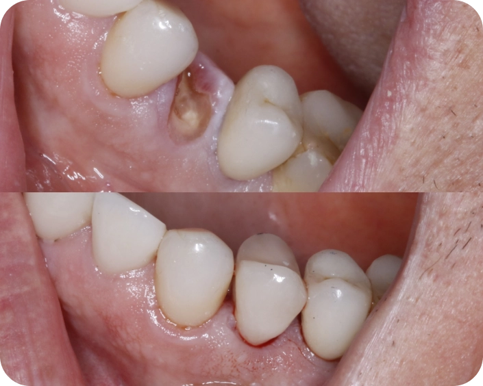
Você sonha em voltar a sorrir com confiança? Os implantes dentários do Oral Center são a solução que você procura. Nossos implantes unitários oferecem uma alternativa segura, duradoura e esteticamente perfeita para dentes perdidos.
Com um espaço amplo, agradável e de fácil acesso em Indaiatuba, nossa equipe de cirurgiões-dentistas especializados utiliza tecnologia de ponta para garantir resultados excepcionais. Com planejamento personalizado e acompanhamento pós-operatório, cuidamos de você em cada etapa do processo.
Não deixe que a falta de um dente comprometa seu bem-estar. Agende agora sua avaliação e descubra como os implantes unitários do Oral Center podem transformar seu sorriso e sua vida.




Preencha o formulário para ser atendido pelos nossos especialistas.